nauka
nauka
              
           
              
      
      
       
      
      
  
          
            Fundacja na rzecz Nauki Polskiej ogłosiła wyniki pierwszego naboru wniosków w działaniu FIRST TEAM, finansowanym z programu Fundusze Europejskie dla Nowoczesnej Gospodarki (FENG). W ramach tego prestiżowego programu Kierowniczka Pracowni Immunologii Doświadczalnej i Translacyjnej Międzyuczelnianego Wydziału Biotechnologii UG i GUMed, dr hab. n. med.…
        
    nauka
              
          
            Akademickie Centrum Języka Polskiego i Kultury Polskiej dla Cudzoziemców UG z dumą prezentuje najnowszą publikację „LOST in Gdańsk! Polish culture in the age of uncertainty”. To wyjątkowe opracowanie, które zgłębia historię, kulturę i współczesne wyzwania Gdańska.
Publikacja podsumowuje projekt realizowany na Uniwersytecie Gdańskim w ramach programu SPINAKER, jest dostępna pod linkiem: LOST_in_Gdansk.pdf. Autorami są dr…
        
    nauka
              
           
              
      
      
       
            Na zdjęciu dr Irena Chawrilska
      
      
      
  
          
            CONVIVIUM to projekt, którego celem jest przeformułowanie wspólnego dziedzictwa kulinarnego i tradycji, podjęcie wspólnych aktywności i praktyk w różnych regionach, od ogrodnictwa i uprawy roślin, po praktyki przy stole i w kuchni. 
Projekt „CONVIVIUM: CONVIVIUM: New European Bauhaus Solutions In Food…
        
    nauka
              
           
              
      
      
       
      
      
  
          
            Mgr Michalina Ignaciuk wraz z zespołem zajęła I miejsce za stworzenie projektu „Buty Różnorodności”, a grupa prowadzona przez mgr. Mateusza Adama Baluka uplasowała się na III miejscu z projektem „Science Solves” podczas II edycji konkursu „Popularyzacja nie boli”.
W dniach 15-16 czerwca w Warszawie odbyła się gala finałowa „Popularyzacja Nie Boli 2.0…
        
    nauka
              
           
              
      
      
       
      
      
  
          
            Uniwersytet Gdański kolejny raz znalazł się w światowej czołówce i jest liderem wśród polskich uczelni w rankingu Times Higher Education Impact Rankings, rankingu oceniającego uczelnie wyższe z całego świata pod względem ich zaangażowania w realizację 17 Celów Zrównoważonego Rozwoju ONZ.
 
12 czerwca 2024 r. opublikowano wyniki szóstej edycji rankingu…
        
    nauka
              
          
            Dwóm projektom naukowców z Katedry Biochemii Ogólnej i Medycznej Wydziału Biologii UG przyznano ponad 3 mln. finansowania w ramach konkursu SONATA 19 Narodowego Centrum Nauki.
      
      
  
           
              
      
      
       
            fot. R. Mielczarek
      
      
      
  
          
            Projekt dr Urszuli Zarzeckiej „Rola proteaz pozacytoplazmatycznych w fizjologii i morfologii…
        
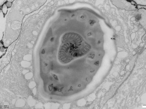
    nauka
              
           
              
      
      
       
      
      
  
          
            Zdjęcie wykonane przez Kierowniczkę Laboratorium Bioobrazowania na Wydziale Biologii UG dr hab. Magdalenę Narajczyk, zostało wyróżnione jako jedno z dziesięciu najlepszych zdjęć w konkursie fotograficznym Bio-Art: „The beauty behind biological sciences”, zorganizowanym przez FEBS (Federation of European Biochemical Societies).
Zdjęcie wykonane przez dr…
        
    nauka
              
           
              
      
      
       
            Fot. Janusz Kreczmański z Pixabay
      
      
      
  
          
            Już po raz dziewiąty przyznano nagrody i wyróżnienia w konkursie o Nagrodę Naukową Oddziału PAN w Gdańsku dla młodych naukowców. Wśród osób docenionych w konkursie znalazło się sześcioro pracowników i doktorantów z Uniwersytetu Gdańskiego.
Nagroda Oddziału PAN w Gdańsku dla młodych naukowców…
        
    nauka
              
           
              
      
      
       
      
      
  
          
            Katarzyna Dziubek, doktorantka z Międzynarodowego Centrum Badań nad Szczepionkami Przeciwnowotworowymi Uniwersytetu Gdańskiego, otrzymała grant Fundacji Kościuszkowskiej. W ramach grantu odbędzie sześciomiesięczny staż naukowy w laboratorium Schatton w Harvard Medical School (Szkole Medycznej Uniwersytetu Harvarda).
Grupa badawcza, w której staż…
        
    nauka
              
          
            Ścieżka specjalizacyjna Translatoryka, prowadzona na kierunku Filologia angielska przez Zakład Translatoryki Anglistycznej, została przyjęta do prestiżowej sieci najlepszych europejskich programów translatorycznych EMT (European Master’s in Translation)! Jest to ogromne wyróżnienie, a także znakomita szansa na nawiązanie współpracy międzynarodowej i wymianę doświadczeń z innymi ośrodkami zrzeszonymi w sieci. Pierwsze…
        
     
 
 
 
 
 
 
 
 
